В Курске врачи спасли жизнь пациенту с опасным осложнением после ранения

15.10.2025 17:21

В Курской областной больнице медики провели сложную операцию пациенту, у которого после ранения развилась аневризма сонной артерии. Вместо открытой хирургии хирурги применили малотравматичную технику, сохранив больному жизнь.

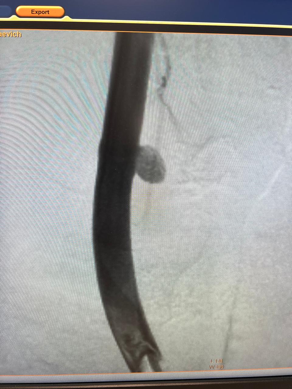
Тридцатидвухлетний мужчина получил тяжёлое повреждение яремной вены и сонной артерии вследствие удара беспилотника. После лечения в клиниках Курска и московского Института Склифосовского пострадавшего отправили домой. Но осложнения травмы вскоре проявились вновь: ультразвуковое исследование выявило аневризму сонной артерии — опасное растяжение её участка с утончённой стенкой.

Для устранения угрозы потребовалось экстренное вмешательство. Хирурги-куряне решили использовать новейший эндоваскулярный подход.

«Провести такую ювелирную работу стало возможным благодаря новому ангиографическому комплексу. Высокотехнологичная медицинская помощь при заболеваниях системы кровообращения развивается благодаря нацпроекту «Продолжительная и активная жизнь». Аппарат выводит на экран 3D-изображение высочайшего качества, позволяя разглядеть мельчайшие нарушения в сосудах», - рассказала врио министра здравоохранения Курской области Екатерина Письменная.

«Мы устранили аневризму изнутри кровяного русла, продвигаясь непосредственно по самим сосудам. Это минимизирует нагрузку на организм больного и существенно ускоряет восстановление», — рассказал Леонид Беликов, главный сосудистый хирург министерства здравоохранения Курской области.

Под местным обезболиванием специалисты Валерий Казанов и Алексей Подтуркин проделали маленький надрез в бедренной артерии ноги. Используя точное рентгенологическое оборудование нового ангиографического комплекса, врачи ввели миниатюрные инструменты по сосудам до поражённого участка шеи. Затем в артерию установили стент-графт — надёжную трубку из полиэстера с металлической опорой. Она усилила слабую стенку сосуда, защищая его от возможного разрыва. Операция длилась примерно час.

После успешного вмешательства и реабилитационного периода пациент вернулся домой в хорошем самочувствии. Сейчас он проходит регулярное наблюдение у врачей по месту жительства.